awesomeicons/solid/dna  Biomarker in Spotlight

IL-36γ

The New Frontier in Armored CAR-T Therapy

A potent pro-inflammatory cytokine belonging to the IL-1 superfamily, emerging as a pivotal biomarker and therapeutic tool in the fight against solid tumors.

awesomeicons/solid/shield-alt Neutrophil Reprogramming
awesomeicons/solid/bolt Epitope Spreading
awesomeicons/solid/dna No Lymphodepletion

The Science

Understanding IL-36γ in Cancer Immunotherapy

The Challenge with Traditional CAR-T

Traditional Chimeric Antigen Receptor (CAR) T-cell therapies have struggled against the immunosuppressive tumor microenvironment (TME) and antigen heterogeneity of solid cancers. The primary limitation is antigen loss or heterogeneity, where tumors escape by downregulating the targeted antigen.

The IL-36γ Solution

IL-36γ is being leveraged to "reprogram" the host's own immune system, creating a multi-pronged attack that goes far beyond direct tumor killing. IL-36γ armored CAR-T cells address these limitations through several groundbreaking mechanisms.

The Mechanism: Beyond Direct Cytotoxicity

Neutrophil Reprogramming

IL-36γ recruits and transforms unique subsets of neutrophils from pro-tumorigenic "hijacked" cells into antigen-presenting and tumoricidal allies.
These reprogrammed neutrophils upregulate MHC-II and co-stimulatory molecules like CD80 and CD86, essentially acting as professional antigen-presenting cells to prime the host's endogenous immune system.

Inducing Antigen Spreading

By engaging host immune effectors, IL-36γ triggers "epitope spreading", where endogenous T cells begin recognizing tumor antigens beyond the original CAR target.
This enables the rejection of antigen-negative tumor variants that would otherwise escape treatment — a critical advantage over traditional CAR-T approaches.

No Lymphodepletion Required

Standard CAR-T therapy requires lymphodepletion to enhance T-cell engraftment. However, IL-36γ armored cells rely on the recruitment of endogenous immune cells.
Preclinical studies show these armored cells can completely eradicate solid tumors in immunocompetent models without prior lymphodepletion, significantly reducing treatment toxicity.

awesomeicons/solid/dna  The Paradigm Shift

From Targeted Killing to Immune Reprogramming

IL-36γ armored CAR-T cells don't just kill tumor cells directly — they transform the entire tumor microenvironment, recruit and reprogram the host's immune system, and establish long-term immunological memory against cancer.

Research Tools

OriGene Solutions for IL-36γ Research

Comprehensive tools and reagents to advance your IL-36γ research from discovery to validation.

IL-36γ Monoclonal Antibody

Clone OTI2F4 • TA505994

The OriGene IL-36γ Mouse Monoclonal Antibody is a critical tool for identifying this cytokine in complex biological samples with exceptional specificity and sensitivity.

  • Western Blot Validated: Detects IL-36γ in macrophage lysates and supernatants, confirming LPS and ATP-induced secretion through unconventional pathways
  • IF/IHC Applications: Highly effective for visualizing intracellular IL-36γ movement and localization patterns
  • Localization Studies: Observe perinuclear localization under homeostatic conditions and plasma membrane translocation upon activation

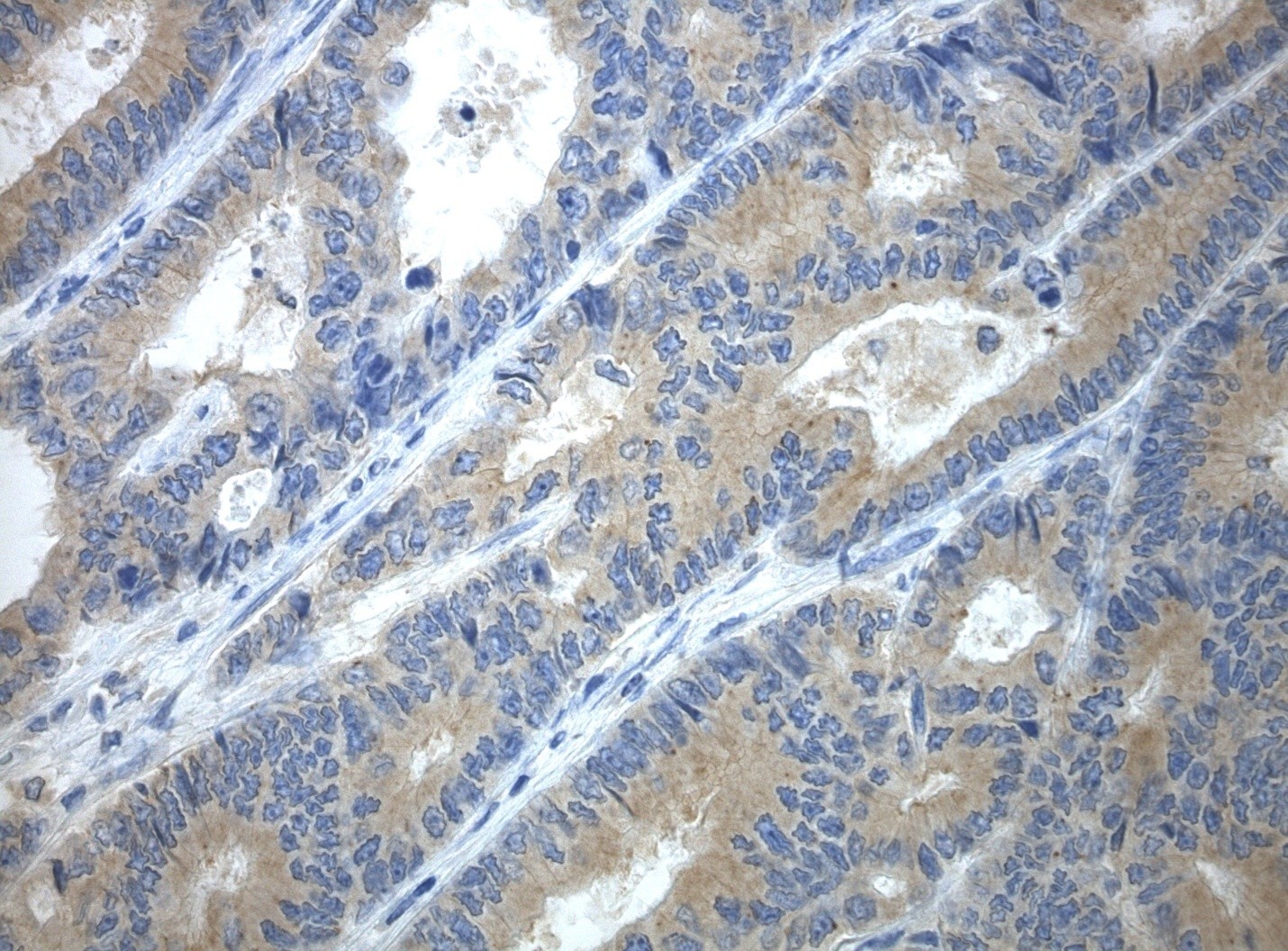
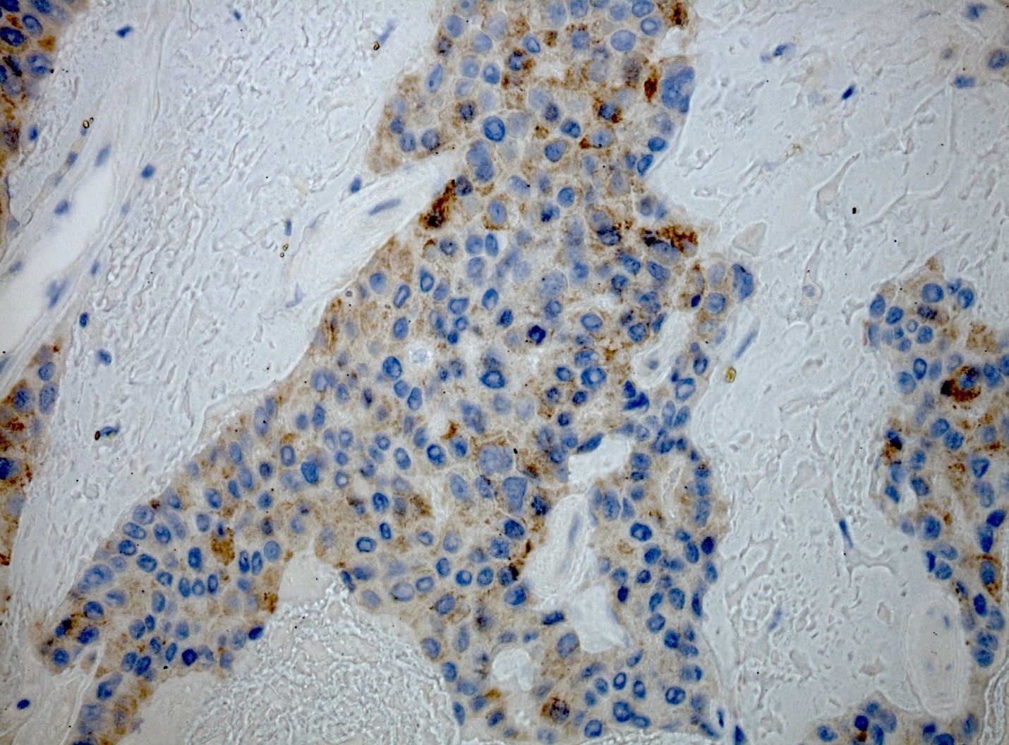
  • IHC Staining image
    IHC staining of paraffin-embedded HER2 positive breast cancer using IL36G antibody TA505994 clone OTI2F4 mouse monoclonal antibody.
  • IHC staining of paraffin-embedded colon cancer using IL36G antibody TA505994 clone OTI2F4 mouse monoclonal antibody.
  • IL-36γ is localized in the cytoplasm of IC21 macrophages. (Ref)

Other Products Supporting IL-36γ Research

Conclusion & Future Outlook

A Promising Roadmap for Solid Tumors

By transforming the TME from an "immune desert" into an active battleground, IL-36γ armored CAR-T cells offer a promising roadmap for treating refractory solid tumors. The ability to stimulate long-term immune memory and reject antigen-negative challenges represents a significant shift toward more durable and broadly applicable cancer immunotherapies.

Transform the TME

Converting the tumor microenvironment from an "immune desert" into an active battleground.

Long-term Immune Memory

Stimulating durable immune responses that persist beyond initial treatment.

Antigen-Negative Rejection

Enabling rejection of tumor variants that would otherwise escape traditional therapies.

Reduced Toxicity

Eliminating the need for lymphodepletion significantly reduces treatment-related toxicity.

Ready to Advance Your Research?

Explore our comprehensive IL-36γ research solutions and discover how OriGene can support your breakthrough discoveries.

References

1 Tracing the development of CAR-T cell design: From concept to next-generation platforms.

Published in Frontiers in Immunology

View Publication

2 Escobar, G., Berger, T. R., & Maus, M. V. (2025). CAR-T cells in solid tumors: Challenges and breakthroughs.

Published in Cell Reports Medicine

View Publication

3 Finucane, M., Brint, E., & Houston, A. (2025). The complex roles of IL-36 and IL-38 in cancer: Friends or foes?

Published in Oncogene

View Publication

4 IL-36γ is secreted through an unconventional pathway using the Gasdermin D and P2X7R membrane pores

Published in Gasdermins in the Defense Against Pathogens

View Publication

5 IL-36 gamma-enhanced CAR T cells offer new therapeutic avenue in solid tumors

Published in BYOL Academy

View Publication

6 Multi-armored allogeneic CD5 γδ CAR T cells enhance anti-tumor efficacy in T cell malignancies

Published in American Association for Cancer Research Cancer Res (2025)

View Publication

7 Bringing in neutrophils to improve CAR-T efficacy in solid tumors

Published in Accelerating Cancer Immunotherapy Research

View Publication

8 IL-36γ armored CAR T cells reprogram neutrophils to induce endogenous antitumor immunity

Published in Cancer Cell

View Publication

See All »