Gastrin (GAST) Rabbit Polyclonal Antibody

SKU
DP044
Gastrin (GAST) rabbit polyclonal antibody, Purified
  $755.00
3 Days*
Bulk/Customize
Specifications
Specifications
Product Data
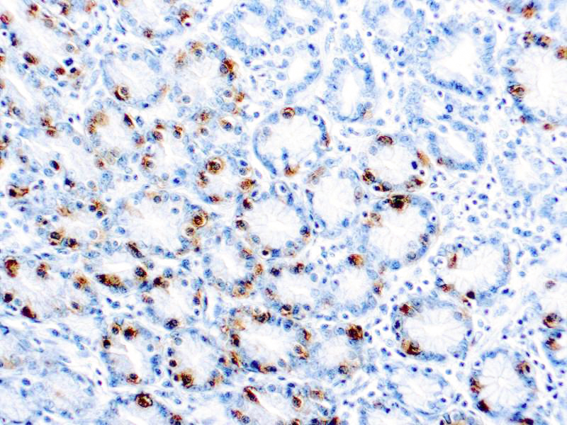
Application IHC
Recommended Dilution Immunohistochemistry on formalin-fixed paraffin embedded sections:
diluted of 1:50-1:100 in an ABC method (30 minutes at room temperature)
Recommended Positive Control: Stomach
Reactivity Human
Antibody Host Rabbit
Clonality Polyclonal
Immunogen Recombinant Gastrin conjugated to KLH.
Specificity The antibody is specific against gastrin-containing cells. This antibody reacts with human gastrin I and human gastrin I fragments.
Cellular Localization: Cytoplasmic
Buffer containing sodium azide as preservative
State: Purified
State: Liquid serum
Conjugation Unconjugated
Storage Store the antibody undiluted at 2-8°C for one month or (in aliquots) at -20°C for longer.
Avoid repeated freezing and thawing.
Stability Shelf life: one year from despatch.
Shipping Blue Ice
Gene Name gastrin
Database Link
Background Gastrin is mainly known by its first described role as a gastric acid-hormone but the protein also has the ability to promote cellular growth. More recently, gastrin has been suggested to induce leukocyte-endothelial cell interactions and to have a pro-inflammatory effect. Gastrin has two biologically active peptide forms, G34 and G17 and they activate two different receptors: the CCK-1 receptor, which has low affinity for gastrin but high affinity for the related hormone cholecystokinin (CCK), and the CCK-2 receptor, which has high affinity for both gastrin and CCK and mediates the acid-secretory as well as the proliferative effects of gastrin.
Synonyms GAST, GAS
Reference Data
Protein Categories Secreated Proteins
Reviews
 
 
 
 
 

Be the first to review this product

Please note:
Only reviews with images are eligible for a $20/20€ Amazon gift card.
Reviews without images are eligible for a $10/10€ Amazon gift card.
For more details about the terms and conditions, please visit the promotion page.

Documents
Resources

file-alt Citations

*Delivery time may vary from web posted schedule. Occasional delays may occur due to unforeseen complexities in the preparation of your product. International customers may expect an additional 1-2 weeks in shipping.